Te acompaño con tratamientos avanzados para lesiones, fracturas, dolor crónico y medicina deportiva. Siempre con un enfoque humano y personalizado.
Soy especialista en Traumatología y Ortopedia, con subespecialidad en Alargamiento y Reconstrucción Ósea.
Mi práctica se centra en el manejo integral de fracturas, secuelas traumáticas, pérdidas óseas, pseudoartrosis, infecciones osteomusculares, deformidades y lesiones deportivas o crónicas degenerativas.
Trabajo en la preservación y recuperación de extremidades que podrían ser candidatas a amputación, ofreciendo tratamientos personalizados según la condición de cada paciente.
Mi enfoque es progresivo y responsable: evalúo cada caso para elegir la mejor alternativa terapéutica, evitando cirugías innecesarias y aplicando medidas escalonadas antes de llegar a la intervención quirúrgica.
Priorizo siempre la reconstrucción, la funcionalidad y el bienestar del paciente.
Creo en una medicina que no solo salva extremidades, sino que también devuelve movilidad, autoestima y calidad de vida.
Me mantengo en constante actualización mediante congresos y entrenamientos internacionales en Traumatología, Ortopedia, Medicina deportiva, medicina regenerativa, entre ellos:
Sociedad Colombiana de Cirugía Ortopédica y Traumatología – Cartagena, 2018.
Academia Estadounidense de Cirujanos Ortopédicos – Las Vegas, 2019.
Congreso Latinoamericano de Ortopedia y Traumatología – 2018, 2022.
Asociación Brasileña de Reconstrucción y Alargamiento Óseo – 2022.
Academia Orthofix – Brasil, 2022.
Ha trabajado en reconocidos hospitales del Ecuador como el el Hospital Pablo Arturo Suárez, Hospital Eugenio Espejo, Hospital Metropolitano, así como en prestigiosas instituciones internacionales, entre ellas el Hospital das Clinicas de la Universidad de São Paulo- Brasil y en la Fundación Cardioinfantil en Bogotá.
Durante más de 10 años atendió pacientes en áreas de Traumatología, Ortopedia, emergencias y medicina deportiva, siempre con un enfoque humano y actualizado.
Atiendo casos complejos con tratamientos que restauran movilidad y funcionalidad, incluso cuando parece que ya no hay opciones.
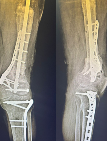
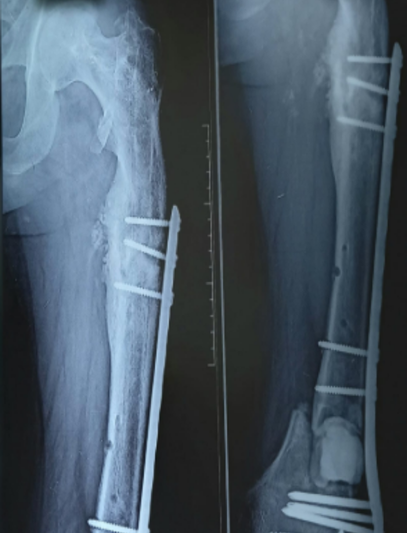
En Innova Care transformamos historias clínicas en casos de éxito. Nuestros pacientes han pasado de lesiones complejas a una recuperación funcional gracias a tratamientos avanzados en traumatología y ortopedia.



Tras un accidente de tránsito, Yessenia presentó una fractura expuesta con un defecto óseo de 10 cm en su pierna. Había recibido tratamientos previos sin éxito y su movilidad estaba en riesgo.
Con la técnica de osteogénesis por distracción y el uso de un tutor circular Ilizarov, se inició un proceso de regeneración ósea progresiva, acompañado de un seguimiento cercano.
Hoy Yessenia evoluciona favorablemente, conserva movilidad en su rodilla y tobillo, y está recuperando la independencia que pensaba perdida.
“Después de un accidente en moto me dijeron que la única opción era amputar. La Dra. Bertha encontró otra alternativa y hoy camino con normalidad. Le estaré siempre agradecido.
Atiendo pacientes con lesiones del sistema musculoesquelético, fracturas, dolor crónico, lesiones deportivas, problemas articulares y casos complejos que requieren reconstrucción o alargamiento óseo.
Es una técnica avanzada que permite corregir deformidades, discrepancias de extremidades, secuelas traumáticas y defectos óseos. También puede aplicarse en alargamientos estéticos.
No siempre. En la mayoría de los casos busco alternativas para que los deportistas puedan continuar su actividad física sin interrumpirla.
Sí, también atiendo a niños con deformidades congénitas o problemas de crecimiento óseo.
El valor de la consulta depende del tipo de atención requerida. Escríbenos por WhatsApp para enviarte la información actualizada de honorarios.
Aceptamos pagos en efectivo y transferencias bancarias.
Agenda tu consulta y comencemos hoy mismo el camino hacia una vida sin dolor.